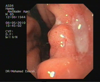
This 48 years old male patient presented with 2 months history of persistent vomiting and epigastric pain and unsatisfactory response to multiple courses of proton pump inhibitors. He had no chronic medical disease nor GIT bleeding. On examination he was pale with epigastric tenderness, otherwise free. Investigations showed mild microcytic hypochromic anemia. Diagnostic upper endoscopy was done and showed GERD with huge active gastric ulcer with marked mucosal congestion and inflammation, necrotic floor and edematous edge, for the first time it was suspected to be malignant (image 1), multiple biopsies were taken. Biopsy result showed moderately active chronic H Pylori with intestinal metaplasia. Treatment included two days of parentral PPI, then two weeks of triple therapy follwed by four weeks of oral omeprazole 40 mg/day. Follow up one month later showed marked improvement (image 2). Thus it could be concluded that apparently aggressive lesions are not always malignant, any suspicious lesion should be biopsied , treatment of H Pylori promotes healing of gastric ulcer and follow up of endoscopic healing is advised.
Emara, M. (2011). Aggressive Benign Gastric Ulcer. Afro-Egyptian Journal of Infectious and Endemic Diseases, 1(1), 17-18. doi: 10.21608/aeji.2011.8757
MLA
Mohamed Hassan Emara. "Aggressive Benign Gastric Ulcer", Afro-Egyptian Journal of Infectious and Endemic Diseases, 1, 1, 2011, 17-18. doi: 10.21608/aeji.2011.8757
HARVARD
Emara, M. (2011). 'Aggressive Benign Gastric Ulcer', Afro-Egyptian Journal of Infectious and Endemic Diseases, 1(1), pp. 17-18. doi: 10.21608/aeji.2011.8757
VANCOUVER
Emara, M. Aggressive Benign Gastric Ulcer. Afro-Egyptian Journal of Infectious and Endemic Diseases, 2011; 1(1): 17-18. doi: 10.21608/aeji.2011.8757