Vitamin D3: Emerging Role in Murine Toxoplasmosis ‎

Document Type : Original Article

Authors

Department of Medical Parasitology, Faculty of Medicine, Zagazig University, Zagazig, Egypt.‎.‎

Abstract

Background and aim of the study: Toxoplasmosis is one of the neglected infections which has a global distribution. Effective treatment against ‎toxoplasmosis is hard to accomplish. Accordingly, we tried to investigate the effect of using vitamin D3 alone ‎and in combination with nitazoxanide in Toxoplasma gondii infected mice‎‎‎‎‎.
Materials and Methods: The study was conducted on 100 Swiss albino mice which were infected with the avirulent (ME49) Toxoplasma gondii strain. Mice were equally divided into 5 groups: (GI): Infected untreated control group; (GII): Infected and treated by spiramycin; (GIII): Infected and treated by vitamin D3; (GIV): Infected and treated by nitazoxanide and (GV): Infected and received a (vitamin D3 –nitazoxanide) combination. The therapeutic impacts of drugs were assessed using; parasitological, histopathological and immunological approaches.‎
Results: The study showed that the vitamin D3- nitazoxanide combination induced a significant reduction in the parasitic load in the brain sections of the infected mice. We have also reported a delicate balance in the overall immune response against the parasite after using the drug combination. It was noted thatvitamin D3, used alone, did not significantly reduce the parasitic load despite the notable improvement in the degree of inflammatory infiltration.
Conclusion: The present study revealed that the vitamin D3–nitazoxanide combination was highly potent in restricting the parasitic load. It controlled the infection without the harmful immunopathological impacts. Thus, vitamin D3 could be a valuable candidate, either as a sole agent or as an adjunct to other anti-parasitic therapies, in areas where toxoplasmosis is endemic‎‎‎‎‎‎‎.

Highlights

  • Till now, there is no available single gold standard treatment for toxoplasmosis.
  • Vitamin D3 has potent antimicrobial and anti-parasitic properties.
  • Using vitamin D3 alone in the treatment of toxoplasmosis had no significant impact on the parasitic burden.
  • Vitamin D3-nitazoxanide drug combination induced a significant balance in the immune response against toxoplasmosis.
  • Vitamin D3-nitazoxanide drug combination would be a promising alternative treatment option for Toxoplasma gondii infection.

Keywords

Main Subjects


INTRODUCTION

Toxoplasma gondii (T.gondii) is an intracellular apicomplexan parasite with a broad diversity of intermediate hosts, including humans [1]. The parasite affects approximately 30 to 50% of the world population [2]. Although toxoplasmosis is generally asymptomatic in immunocompetent individuals, it causes severe sequelae in immunocompromised hosts. Active infection during pregnancy may cause abortion, congenital anomalies or perinatal death [3].

Till now, there is no available single gold standard treatment for toxoplasmosis. Pyrimethamine, sulfonamides or their combinations have been frequently used in the severe form of the disease. However, they were commonly associated with numerous undesirable side effects [4]. Spiramycin is a potent bacteriostatic macrolide that has been used in the treatment of different parasitic infections, like; toxoplasmosis and cryptosporidiosis [5, 6]. It produces a high tissue concentration in the placenta without crossing the placental barrier. Accordingly, it is the drug of choice against T.gondii infection during pregnancy. Yet, the emergence of resistant strains of the parasite would potentially limit the therapeutic efficacy of the drug[7].

With the increasing number of high-risk individuals, continuous efforts are necessary for generating novel treatment options against T.gondii infection [8]. Recent research studies have focused on developing 1, 25(OH)2 D3 as a potential therapeutic agent. In addition to its role in regulating  calcium  (Ca)  and phosphorus metabolism, vitamin D3 is an immune modulator [9,10]. Kearns et al. [11] has ‎demonstrated its therapeutic immunoregulatory effects in resolving various infectious diseases. The ‎hormonal form of vitamin D, 1, 25-dihydroxyvitamin D3, is known for its immunosuppressive, anti-‎proliferative and pro-apoptotic activities. An inhibitory effect of vitamin D3 on the immune system ‎by targeting T helper 1(Th-1) lymphocytes has been described [12].‎

Nitazoxanide (NTZ) [2-acetyloxy-N-(5-nitro-2-thiazolyl) benzamide] is a broad-spectrum anti-parasitic compound. It acts against a wide range of cestodes, nematodes and protozoa with notable effects on apicomplexan parasites, particularly, Cryptosporidium parvum [13].NTZ inhibits pyruvate-ferredoxin oxidoreductase (PFOR) enzyme which is necessary for anaerobic metabolism, without the formation of free radicals or deterioration of the host cells [14].Nitazoxanide has been applied in different experimental models for the treatment of toxoplasmosis. Galvan-Ramirez et al. [15]reported that nitazoxanide drug reduced T.gondii infection more efficiently than pyrimethamine in cultured rat astrocytes and without causing any toxicity to the host cells.

Various studies have analyzed the role of vitamin D in different intracellular protozoan infections like; Leishmania Mexicana and malaria [16, 17].Yet, there’s quite a lack of reports which investigated its role in T.gondii infection. Hence, the present work aimed to evaluate the therapeutic effects of vitamin D3 as a sole agent and after its combination with nitazoxanide in T. gondii infected mice.

MATERIALS‎ AND METHODS

The avirulent (ME49) T.gondii strain:‎

Regular maintenance of the strain was achieved through oral administration of the Swiss albino mice with ‎diluted brain suspension of previously infected mice containing approximately (25 cysts in 0.1 ml). The process ‎was repeated every 45-60 days [18]. ‎

Mice grouping and experimental design:‎

The study was conducted at the post-graduate research laboratory at the Medical Parasitology Department, ‎Faculty of Medicine, Zagazig University. It was carried out on 100 laboratory-bred Swiss albino male mice, aged ‎‎7 - 8 weeks, weighing 20-25 g. All mice were housed in well-ventilated cages and were regularly offered ‎standard pellet food and water [19]. Examination of mice faeces was performed to exclude any parasitic ‎infections [20]. The selected mice were equally divided into the following groups: ‎

‎(GI): Infected untreated control group.‎

‎(GII): Infected and treated by spiramycin. ‎

(GIII): Infected and treated by vitamin D3. ‎

‎(GIV): Infected and treated by nitazoxanide.‎

‎(GV): Infected and received a combination of vitamin D3 and nitazoxanide. ‎

Drugs:‎

Spiramycin (Rovac®, Delta Pharma, Egypt) was administered at a dose of 400 mg/kg/day [21]. The drug was ‎given at a fixed hour daily for seven days. ‎

Nitazoxanide (Al- Andalous for pharmaceutical industries, Egypt) was given orally at a dose of 150 mg/kg/day, ‎for 14 days, based on previous studies on experimental cryptosporidiosis [22].‎

Both spiramycin and nitazoxanide were administered starting from the 45th day post-infection, at the onset of ‎chronic toxoplasmosis, according to the drug table of Paget and Barnes [23].‎

Vitamin D3 solution (Product No: 740292, Sigma–Aldrich, Cairo, Egypt) was administered intraperitoneally to ‎each mouse at a dose of 0.5μg/kg/ 2days. The treatment began three days before the infection (two doses) and ‎continued for 14 days (seven doses). The timing of commencing Vitamin D3 treatment as well as the duration of ‎therapy were conducted according to the protocols described by Rajapakse et al. [24,43].‎

Upon completion of the treatment, all animals were sacrificed after the last dose of therapy by cervical ‎dislocation. ‎

Experimental infection: ‎

Infection of mice was initiated by oral administration of 25 cysts in 0.1 ml of diluted brain suspension using a ‎stomach tube. The infection was obtained from the brain tissues of another mouse, which was infected 45-60 ‎days earlier [18]. The mouse was sacrificed and the brain was removed and homogenized in 1-ml saline under ‎sterile conditions. A glass homogenizer was used to release tissue cysts. One drop (25 μl) of the brain ‎homogenate was spread on a slide and microscopically examined. Tissue cysts were then counted in four drops ‎and multiplied by 10 to estimate the number of cysts in one ml of the brain suspension [25]. The infective dose ‎was determined to be 25 cysts in 0.1 ml of the brain suspension. Tissue cysts in brain homogenate of T. gondii ‎infected mice are shown in Figure (1). The therapeutic effects of the used drugs were assessed using; ‎parasitological, histopathological and immunological measures:‎

1- Parasitological assessment:

Parasite load:

T.gondii tissue cysts containing bradyzoites were counted in Giemsa stained smears from the brain sections of ‎all study groups. In each mouse, the brain tissues were examined using oil immersion. The mean value of 10 ‎different fields was calculated for each group [26].

Parasite reduction percentage (%R)‎:

The reduction in the parasite burden was calculated using the following equation:‎

‎%R=

% R: % reductions, C: control group and E: experimental groups of mice [27].‎

‎2- Histopathological assessment: ‎

Tissue samples from brain tissues were fixed in 10% formal saline solution, dehydrated in ascending grades of ‎ethyl alcohol, then, they were cleared in xylol, and kept as paraffin blocks. Sections of 4 µm thickness were cut ‎and stained with haematoxylin and eosin (H&E)‎‏ ‏‎[28]. All slides were then examined microscopically for ‎detection of T.gondii tissue cysts. In the brain tissues, the total numbers of focal or diffuse inflammatory foci ‎were counted and inflammatory infiltrations in the meninges were analyzed. The inflammatory score was ‎represented as arbitrary units as follow; 0–2, mild; 2–4, moderate; 4–6, severe; and above 6, very severe [29].‎

3. Immunological assessment‎:

Estimation of interferon-gamma (IFN-γ) levels by ELISA: ‎

Serum samples were obtained from all infected and control groups at the end of the study (60 days post-‎infection) [30]. Interferon-gamma (IFN-γ) levels in serum samples were estimated using Mouse IFN- γ ELISA Set ‎‎(BD Biosciences Pharmingen, Cat. No. 555138, San Diego, CA 92121, USA). The kit was used according to the ‎manufacturer instructions. A photometric measurement at 450 nm was carried out to estimate the absorbance ‎concentration of the samples.‎

Statistical methods: ‎

Data were analyzed using Statistical Package for the Social Sciences "SPSS version 22". ANOVA F-test was ‎performed to calculate the difference between quantitative variables among different study groups [31]. ‎Quantitative data were described using mean and standard deviation (SD). P value

RESULTS:

1. Parasitological results

Parasitic count

Toxoplasma gondii tissue cysts were detected in impression smears from the brain tissues of all infected groups ‎with variable densities. The mean values of the parasitic burden obtained in different study groups are ‎demonstrated in Figure (2). Our results revealed a statistically significant difference in the mean cyst counts ‎among the studied groups (P<0.001, Table 1). In the infected untreated group (GI), the mean count of tissue ‎cysts per oil impression fields was (11.03±3.5) (Table 1, Figure 2). In (GV), after combining vitamin D3 and ‎nitazoxanide, the reduction percentage reached (78.24%) with a highly significant difference as compared to ‎the infected untreated group (GI) (P<0.001, Table 1). It was noted that, vitamin D3, used alone in (GIII), did not ‎significantly reduce the parasitic load. The reduction percentage in cyst counts was only (27.47%) (Table  1).‎

2- Histopathological results:‎

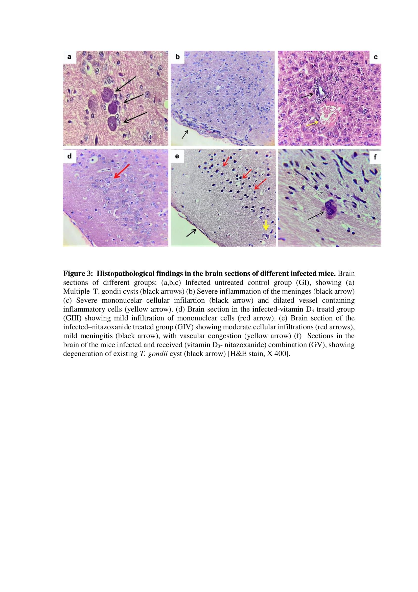
The brain sections of the infected untreated group (GI) showed multiple T. gondii cysts (Figure 3a), along with ‎several pathological sequelae, like severe meningitis with marked mononuclear cellular infiltrations (Figure 3 ‎b, c, respectively). Resolution of the pathological changes was reported in all of the treated groups. In (GIII), ‎after administration of vitamin D3, a remarkable reduction in the degree of cellular inflammation was denoted ‎‎(Figure 3d). Nitazoxanide induced a notable improvement in the degree of meningitis (Figure 3e). ‎Degeneration of tissue cysts was demonstrated in (GV) (Figure 3f).‎

Forty (40%) of T.gondii infected untreated mice (GI) exhibited severe inflammatory cellular infiltration. ‎However, the severity percentage didn’t exceed (15%) among different treated groups (Figure 4). There was no ‎significant difference in the degree of inflammatory infiltration changes among the treated groups (P > 0.05, ‎Table 2). ‎

3- Immunological results:

(IFN-γ) measurement:

Serum levels of IFN-γ were assessed as an indicator of the immunomodulatory effect of the different drugs used ‎during the study (Figure  5). The infected untreated group (GI) showed a serum IFN-γ level with a mean value of ‎‎(125.2± 39.9) pg/ml. The nitazoxanide-treated group (GIV) exhibited the highest level of IFN-γ production ‎‎(280.7±88.8) with statistically significant difference, compared to (GI) (P < 0.001, Table 3). On the other hand, ‎the lowest serum levels of the cytokine (93.23± 25.6, P< 0.05), were obtained in the vitamin D3-treated group ‎‎(GIII), as shown in Table (3).‎

Table (1):   The parasite count and reduction percentage in the brain tissues of different study ‎groups‎ ‎.

Brain /%R

GI

(n=20)

GII

(n=20)

GIII

(n=20)

GIV

(n=20)

GV

(n=20)

F

P value

Mean ±SD

%R

11.03±3.5

4.0 ± 1.2$

63.74%

8.0 ± 2.3

27.47%

5.6 ± 1.8$

49.23%

2.4 ±0.8$$

78.24%

50.53

<0.001**

 

GI: Infected untreated control group; GII: Infected-spiramycin treated group; GIII: Infected-vitamin D3 treated group; GIV: Infected-nitazoxanide treated group; GV: Infected and received combination of nitazoxanide and vitamin D3; % R: percentage of reduction; SD: standard deviation; n: number of mice in each group.

 F: F test (ANOVA); **P<0.001(statistically highly significant)

 $: significant with GI; $$: highly significant with GI

Table (2): Inflammatory infiltration changes among experimentally treated groups.

Inflammatory infiltration degrees

 

GII

(n=20)

GIII

(n=20)

GIV

(n=20)

GV

(n=20)

χ2

DF

P value

N

%

N

%

N

%

N

%

Mild

8

40.00%

7

35.00%

8

40.00%

9

45.00%

1.57

9

0.99

NS

Moderate

9

45.00%

8

40.00%

8

40.00%

7

35.00%

Severe

2

10.00%

3

15.00%

3

15.00%

2

10.00%

Very severe

1

5.00%

2

10.00%

1

5.00%

2

10.00%

GI: Infected untreated control group; GII: Infected-spiramycin treated group; GIII: Infected-vitamin D3 treated group; GIV: Infected-nitazoxanide treated group; GV: Infected and received combination of nitazoxanide and vitamin D3; n: number of mice in each group.

 χ2: Chi square test; DF: Degree of freedom;   NS: P>0.05 (statistically non-significant)

Table (3): IFN-γ Level (pg/ml) in serum samples of different study groups‎.‎

   IFN-γ

GI

(n=20)

GII

(n=20)

GIII

(n=20)

GIV

(n=20)

GV

(n=20)

F

P

Mean±SD

125.2± 39.9

115.6±32.2

93.23± 25.6$

280.7±88.8$$

110.45± 36.3

47.14

<0.001**

GI: Infected untreated control group; GII: Infected-spiramycin treated group; GIII: Infected-vitamin D3 treated group; GIV: Infected-nitazoxanide treated group; GV: Infected and received combination of nitazoxanide and vitamin D3; SD: standard deviation; IFN-γ: Interferon-gamma; n: number of mice in each group.

 F: F test (ANOVA); **P<0.001(statistically highly significant)

 $: significant with GI;   $$: highly significant with GI

DISCUSSION

Over the past 20 years, the treatment scheme of human toxoplasmosis remained unchanged [33]. Most of the ‎currently used therapeutic drugs are associated with numerous and severe side effects [34]. Furthermore, owing ‎to the growing resistance of the parasite, the current anti-Toxoplasma drugs have become less effective due to ‎the evolving genetic mutations [35]. In line with this, the search for alternative drugs or drug combinations ‎demands a challenging effort [4].‎

The antimicrobial effects of vitamin D3 are due to its over-expression of different antimicrobial peptides such as ‎beta-defensin2 and cathelicidin [36]. Moreover, vitamin D3 is a good inducer of nitric oxide (NO) production ‎[37], which in turn, has potent antimicrobial and anti-parasitic properties [38].‎

Nitazoxanide (NTZ) was used in the treatment of different parasitic infections. It has shown excellent in vitro ‎activities against a wide variety of protozoa and helminths [39]. Several recently conducted studies have ‎managed to evaluate the effect of the drug in experimental T.gondii infection [34, 40, 41].‎

Our study has demonstrated a significant difference (P< 0.001) in the mean T.gondii cysts count among different ‎groups. A notable reduction in the parasitic load was demonstrated in (GII), after spiramycin intake (Table 1). ‎The anti-parasitic potential of spiramycin against T.gondii was supported by Grujić et al. [42] who reported the ‎ability of the drug to effectively reduce cyst numbers in both acute and chronic murine toxoplasmosis. The ‎current study also denoted that despite the reduction in the parasitic load in the vitamin D3,-treated group (GIII), ‎the difference was not statistically significant (P>0.05) when compared with (GI) (Table 1). Likewise, ‎Rajapakse et al. [43] have proved the role of vitamin D3 in reducing the parasitic burden in T.gondii infected ‎mice by inhibiting the intracellular proliferation of the parasite. Conversely, Ghaffarifar et al. [44] have ‎reported that using vitamin D3 did not have any considerable effect on the inhibition of tachyzoites ‎proliferation in mice experimentally infected with the virulent (RH) T.gondii strain. ‎

According to our results, the combination between vitamin D3 and nitazoxanide in (GV) has significantly ‎reduced the parasitic count (P<0.001, Table 1). Different combination trials have been experimentally ‎introduced for the treatment of toxoplasmosis. Etewa et al. [45] presented a combination between spiramycin ‎and methotrexate. Yet, they reported an increase in the cysts number in the brain tissues of the experimentally ‎treated mice. Omar et al. [46] denoted that the combination between spiramycin and the anti-inflammatory ‎drug, aminoguanidine, significantly reduced the parasitic burden in T.gondii infected mice.‎

Histopathological findings in the present work, have matched the parasitological results. The infected untreated ‎group (GI) which exhibited the highest parasitic load (Table 1), had also shown several pathological ‎alterations, like; severe meningeal inflammation and marked mononuclear cellular infiltrations (Figure 3 b, c, ‎respectively). The study has also reported a notable reduction in the degree of cellular inflammatory ‎infiltrations in the vitamin-D3 treated group (GIII) (Figure 3d). These results come in accordance with ‎Rajapakse et al. [24] and Rajapakse et al. [43] who reported improvement of pathological changes along with ‎a reduction in the parasite burden after vitamin D3 treatment in T.gondii infected mice. ‎

A marked reduction in the degree of meningitis was noticed after administration of nitazoxanide in (GIV) ‎‎(Figure 3e). The promising effect of nitazoxanide in reducing the degree of inflammation in brain tissues of T. ‎gondii infected mice was endorsed by El-Kowrany et al. [40]. The combination between vitamin D3 and ‎nitazoxanide in (GV) has induced a noted reduction in the severity of pathological changes as well as ‎degeneration of existing tissue cysts (Figure 3f).‎

In our study, we obtained the highest significant level of IFN-γ production (280.7±88.8, P<0.001) in the ‎nitazoxanide treated group (GIV) (Table 3). This finding could be attributed to the fact that nitazoxanide is a ‎strong inducer of the Th1 immune response and in turn, IFN-γ release, which controls tachyzoites replication, as ‎confirmed by Munoz et al.[47]. In contrast, the lowest level of the cytokine was detected in the vitamin D3-‎treated group (GIII) with a mean value of (93.23± 25.6) (Table 3). Rajapakse et al. [24] explained that the ‎relatively low serum IFN-γ level in vitamin D3 treated mice was due to its inhibitory effect on Th1 immune cells ‎and consequently impairing IFN-γ production. They also confirmed that despite the immune-suppressive effect ‎of the vitamin, no increase in parasite load was observed, which indicated that vitamin D3 inhibits T.gondii ‎proliferation at a cellular level.‎

According to the obtained results, a balanced level of IFN-γ was demonstrated in (GV) with a mean value of ‎‎(110.45± 36.3). The detected IFN-γ measurement was not as low as the level obtained in the vitamin D3 treated ‎group (93.23± 25.6), neither as high as that exhibited in the nitazoxanide treated mice (280.7±88.8, P<0.001) ‎‎(Table 3).  Hence, our research verified that combining both nitazoxanide and vitamin D3 has created a delicate ‎modulation in the overall immune response against toxoplasmosis.     ‎

CONCLUSIONS:

Results of the current research showed that using vitamin D3 alone did not significantly reduce the parasitic ‎load in the brain sections of T.gondii infected mice. However, after its combination with nitazoxanide, a ‎significant reduction was obtained. We have also shown that the drug combination has induced a notable ‎balance in the immune response against toxoplasmosis. Therefore, we recommend using vitamin D3-‎nitazoxanide drug combination as a promising alternative treatment option for T.gondii infection‎.

Funding: This research did not receive any specific grant from funding agencies in the public, commercial, or not-for-profit sectors.‎

Conflicts of interest: The authors report no conflicts of interest regarding the publication of this manuscript‎.‎

Ethical considerations ‎

The current research was approved by the Ethical Committee of Zagazig University and was conducted ‎according to the international regulations and guidelines of animal experiments.‎

1. Flegr J, Prandota J, Sovickova M, Israili ZH. Toxoplasmosis-a global threat. Correlation of latent ‎toxoplasmosis with specific disease burden in a set of 88 countries. PLoS ONE  2014; 9(3): e90203.‎
2. ‎  Halonen SK, Weiss LM.  Toxoplasmosis. Handb Clin Neurol  2013; 114, 125–145. ‎
3.   Yarovinsky F. Innate immunity to Toxoplasma gondii infection. Nat Rev Immunol  2014; 1 4, 109-121. ‎
4. ‎  Shammaa AM, Powell TG, Benmerzouga I. Adverse outcomes associated with the treatment of ‎Toxoplasma infections. Scientific reports  2021; 11(1):1-8.‎
5. ‎  Araujo FG, Shepard RM, Remington JS. In vivo activity of the macrolide antibiotics azithromycin, ‎roxithromycin and spiramycin against Toxoplasma gondii. Eur J Clin Microbiol Infect Dis 1991; 10(6): ‎‎519-524.‎‏‎ ‎
6. ‎  Perng C, Kearney A, Palepu N, Smith B, Azzarano L. Assessment of oral bioavailability enhancing ‎approaches for SB-247083 using flow-through cell dissolution testing as one of the screens. Int J Pharm ‎‎2003; 250:147-156.‎
7. -‎ Vaz R, Thomaz S, Sumikawa E, Guimaraes A. Serological prevalence of Toxoplasma gondii antibodies ‎in pregnant women from Southern Brazil. Parasitol Res  2011; 106:661-5.‎
8. ‎  Montazeri M, Sharif M, Sarvi S, Mehrzadi S, Ahmadpour E, Daryani A. A Systematic Review of In ‎vitro and In vivo Activities of Anti-Toxoplasma Drugs and Compounds (2006–2016). Front Microbiol ‎‎2017; 8:25. ‎
9. -‎ Huhtakangas JA, Veijola J, Turunen S, Karjalainen A, Valkealahti M, Nousiainen T, Yli-Luukko S, ‎Vuolteenaho O, Lehenkari P. 1,25(OH)2D3 and calcipotriol, its hypocalcemic analog, exert a long-lasting ‎anti-inflammatory and anti-proliferative effect in synoviocytes cultured from patients with rheumatoid ‎arthritis and osteoarthritis. J Steroid Biochem Mol Biol 2017; 173:13-22.‎
10. ‎Murdaca G, Gerosa A, Paladin F, Petrocchi L, Banchero S, Gangemi S. Vitamin D and Microbiota: Is ‎There a Link with Allergies? Int J Mol Sci. 2021; 22(8):4288. ‎
11. Kearns MD, Alvarez JA, Seidel N, Tangpricha V. Impact of Vitamin D on Infectious Disease. Am J Med ‎Sci  2015; 349(3): 245-262. ‎
12. Redaelli CA, Wagner M, Tien YH, Mazzucchelli L, Stahel PF, Schilling MK et al. 1α, 25-‎Dihydroxycholecalciferol reduces rejection and improves survival in rat liver allografts. Hepatology ‎‎2001; 34(5):926-34.‎
13. Esposito M, Stettler R, Moores SL, Pidathala C, Müller N, Stachulski A et al. In vitro efficacies of ‎nitazoxanide and other thiazolides against Neospora caninum tachyzoites reveal antiparasitic activity ‎independent of the nitro group. Antimicrob Agents Chemother 2005; 49(9): 3715-3723.‎
14. Dupouy-Camet J. New drugs for the treatment of human parasitic protozoa. Parassitologia  2004; 46(1-‎‎2):81-84.‎
15. Galvan-Ramirez Mde L, Duenas Jimenez JM, Rocio L, Troyo-Sanroman R, Ramirez-Herrera M, Garcia-‎Iglesias T. Effect of nitaxozanide and pyrimethamine on astrocytes infected by Toxoplasma gondii in ‎vitro. Arch Med Res  2013; 44 (6): 415–421. ‎
16. Ramos-Martínez E, Villaseñor-Cardoso MI, López-Vancell MR, García-Vázquez FJ, Pérez-Torres A. ‎Effect of 1,25(OH)2D3 on BALB/c mice infected with Leishmania mexicana. Exp Parasitol  2013; 134 ‎‎(4):413-21.‎
17. Bivona G, Agnello L, Lo Sasso B, Scazzone C, Butera D, Gambino CM, et al. Vitamin D in malaria: more ‎hypotheses than clues. Heliyon 2019; 5(2):e01183.‎
18. Fuentes-Castro BE, Reyes-García JG, Valenzuela-Vargas MT, Martínez-Gómez F. Histopathology of ‎murine toxoplasmosis under treatment with dialyzable leukocyte extract. Mem Inst Oswaldo Cruz  2017; ‎‎112 (11): 741-747. ‎
19. El-Fakhry Y, Achbarou A, Desportes I, Mazier D. Encephalitozoon intestinalis: humoral responses in ‎interferon-c receptor knockout mice infected with a microsporidium pathogenic in AIDS patients. Exp ‎Parasitol  1998; 89:113-121. ‎
20. Garcia LS, Bruckner DA. Macroscopic and microscopic examination of fecal specimens. In: Giboda MN, ‎Vokurkova P, Kopacek O. Diagnostic medical parasitology, 3rd ed. ASM Press, Washington 1977; 608-‎‎649. ‎
21. Chew WK, Segarra I, Ambu S, Mak JW. Significant reduction of brain cysts caused by Toxoplasma ‎gondii after treatment with spiramycin co-administered with metronidazole in a mouse model of chronic ‎toxoplasmosis. Antimicrob Agents Chemother  2012;56(4):1762-1768. ‎
22. Rossignol JF, Ayoub A, Ayers MS. Treatment of diarrhea caused by Cryptosporidium parvum: a ‎prospective randomized, double-blind, placebo controlled study of Nitazoxanide. J Infect Dis  2001;184 ‎‎(1): 103-106. ‎
23. Paget GE, Barnes JM. Evaluation of results: Qualitative application in different species. In: Laurence ‎DR, Backarach AL (eds.), Evaluation of drug activities.  Pharmacometrics. Academic press, London and ‎New York  1964; 1; 160-167.‎
24. Rajapakse R, Mousli M, Pfaff AW, Uring-Lambert B, Marcellin L, Bronner C. 125-dihydroxyvitamin D3 ‎induces splenocyte apoptosis and enhances BALB/c mice sensitivity to toxoplasmosis. J Steroid ‎Biochem Mol Biol  2005;96: 179-185. ‎
25. Djurković-Djaković O, Milenković V, Nikolić A, Bobić B, Grujić J. Efficacy of atovaquone combined ‎with clindamycin against murine infection with a cystogenic (Me49) strain of Toxoplasma gondii. J ‎Antimicrob Chemother  2002; 50 (6): 981-987. ‎
26. Barakat AMA. Some diagnostic studies on male New Zealand rabbit experimentally infected with ‎Toxoplasma gondii strain. Glob Vet  2007; 1:17-23. ‎
27. Penido MLO, Nelson DL, Vieira LQ, Coelho PMZ. Schistosomal activity of alkyl ‎aminooctanethiosulfuric acids. Mem Inst Oswaldo Cruz 1994; 89(4):595-602. ‎
28. Drury RAB, Wallington EA. Carleton’s histological technique, 5th edn. Oxford University Press, Oxford, ‎New York, Toronto 1980. ‎
29. Silva NM, Vieira JC, Carneiro CM, Tafuri WL. Toxoplasma gondii: the role of IFN-gamma, TNFRp55 ‎and iNOS in inflammatory changes during infection. Exp Parasitol  2009; 123(1):65-72. ‎
30. Nance JP, Vannella KM, Worth D, David C, Carter D, Noor, S. Chitinase dependent control of protozoan ‎cyst burden in the brain. PLoS Pathog  2012; 8 (11): e1002990. ‎
31. Chan YH. Biostatistics 102: quantitative data-parametric & non-parametric tests. Singap Med J  2003; ‎‎44(8):391-396. ‎
32. Leslie E, Geoffrey J, James M. Statistical analysis. In: Kirkpatrick LA, Feeney BC (eds) Interpretation and ‎uses of medical statistics, 4th edn. Oxford Scientific Publications, Oxford  1991; 411- 416. ‎
33. Konstantinovic N, Guegan H, Stäjner T, Belaz S, Robert-Gangneux F. Treatment of toxoplasmosis: ‎Current options and future perspectives. Food Waterborne Parasitol  2019; 1:15, e00036. ‎
34. Farahat Allam A, Shehab AY, Fawzy Hussein Mogahed NM, Farag HF, Elsayed Y, Abd El-Latif NF. Effect ‎of nitazoxanide and spiramycin metronidazole combination in acute experimental toxoplasmosis. J ‎Parasit Dis  2020;6(4):e03661.‎
35. Montazeri M, Mehrzadi S, Sharif M, Sarvi S, Tanzifi A, Aghayan SA. Drug resistance in Toxoplasma ‎gondii. Front Microbiol 2018; 9: 2587. ‎
36. Routsias JG, Karagounis P, Parvulesku G, Legakis NJ, Tsakris A. In vitro bactericidal activity of human ‎beta defensin 2 against nosocomial strains. Peptides  2010; 31:1654 -1660. ‎
37. Morris A, Seivaraj RK. In vitro 25-hydroxycholecalciferol treatment of lipopolysaccharide-stimulated ‎chicken macrophages increases nitric oxide production and mRNA of interleukin-1 beta and 10. Vet ‎Immunol Immunopathol  2014; 161: 265-270. ‎
38. Nouari W, Ysmail-Dahlouk L, Aribi M. Vitamin D3 enhances bactericidal activity of macrophage against ‎Pseudomonas aeruginosa. Int Immunopharmacol  2016; 30: 94-101. ‎
39. Fox LM, Saravolatz LD. Nitazoxanide: a new thiazolide antiparasitic agent. Clin Infect Dis  2005;40 ‎‎(8):1173-1180. ‎
40. El-Kowrany SI, Abd El Ghaffar AES, Shoheib ZS, Mady RF, Gamea GAM. Evaluation of nitazoxanide as ‎a novel drug for the treatment of acute and chronic toxoplasmosis. Acta tropica  2019; 195:145-154. ‎
41. Saleh M, Nagaty I, Zalat R, Yaseen D, Ahmed K, Abdelhameed R. Assessment of Nitazoxanide Loaded ‎on Silver nanoparticles Efficacy on Treatment of Murine Model of Chronic Toxoplasmosis. Benha ‎Medical Journal  2021; 38: 186-199. ‎
42. Grujić J, Djurković-Djaković O, Nikolić A, Klun I, Bobić B. Effectiveness of spiramycin in murine ‎models of acute and chronic toxoplasmosis. Int J Antimicrob Agents  2005; 25(3):226-30.‎
43. Rajapakse R, Uring-Lambert B, Andarawewa KL, Rajapakse RP, Abou-Bacar A, Marcellin L, et al. ‎‎1,25(OH)2D3 inhibits in vitro and in vivo intracellular growth of apicomplexan parasite Toxoplasma ‎gondii. J Steroid Biochem Mol Biol  2007;103:811-814. ‎
44. Ghaffarifar F, Abdolah Pour M, Sharifi Z, Dalimi Asl A, Al-Kawaz E. The Effect of Vitamin D3 Alone and ‎Mixed With IFN-γ on Tachyzoites of Toxoplasma gondii (RH Strain) Proliferation and Nitric Oxide (NO) ‎Production in Infected Macrophages of BALB/C Mice. Iran J Parasitol  2010;5(3):48-56.‎
45. Etewa SE, Abo El-Maaty DA, El-Azeem A, Mai E, El-Shafey MA, Sarhan MH. In Vivo Assessment of the ‎Effects of Methotrexate on Latent Toxoplasmosis. J Egypt Soc Parasitol  2017;47(3): 589 - 598. ‎
46. Omar M, Abaza BE, Mousa E, Ibrahim SM, Rashed HE, Farag TI. Effect of spiramycin versus ‎aminoguanidine and their combined use in experimental toxoplasmosis. J Parasit Dis 2021; 45, 1014–‎‎1025.‎
47. Munoz M, Liesenfeld O, Heimesaat MM. Immunology of Toxoplasma gondii. Immunol Rev  2011;240 ‎‎(1): 269–285.‎