Primary Spontaneous Pneumomediastinum and Extensive Cervical Emphysema in COVID-19 Infection: a Case Report

Document Type : Case report

Authors

Department of infectious diseases, Universty Hospital Fattouma Bourguiba Monastir

Abstract

The coronavirus disease 2019 is a viral infection of the respiratory tract that can be complicated by the severe acute respiratory syndrome. The infection can be associated with atypical clinical manifestations and complications. We report the case of a 39-year-old man, non-smoker and with no past medical history, who was initially admitted to our department for a moderate COVID-19 pneumonia confirmed by detection of SARS-CoV-2 nucleic acid in nasopharyngeal swab using Real-Time Polymerase Chain Reaction. Sixty percent of lung parenchyma was affected in the thoracic CT-scan. Corticosteroids, antibiotic therapy, low molecular weight heparin and supportive oxygen therapy without mechanical ventilation were initiated. Four days after admission, the patient developed an extensive cervical anterior emphysema with pneumomediastinum. Surgical intervention was unnecessary. The patient was observed and his respiratory status improved slowly but continuously. The oxygen requirements decreased. Repeat CT-Scan showed a favourable outcome. This case brings attention to unusual possible complications of COVID-19.

Highlights

  • Recognition of the uncommon complications of COVID-19 especially spontaneous pneumomediastinum and cervical emphysema is crucial.
  • The prognosis of this pathology seems to be favourable in non-intubated patients.

Keywords

Main Subjects


INTRODUCTION

The coronavirus disease 2019 (COVID-19) pandemic began at the end of 2019. It is a viral infection of the respiratory tract that can be complicated by the severe acute respiratory syndrome [1]. Despite research papers that continue to be published, this pandemic still hides its secrets. It is associated with atypical clinical manifestations and complications. Here, we report the case of a patient with no medical history presented with COVID-19 rare complication: a spontaneous pneumomediastinum and cervical massive subcutaneous emphysema.

CASE DESCRIPTION

A 39-year-old man with no past medical history was admitted in our department on July 24, 2021 because of confirmed SARS-CoV-2 moderate pneumonia. He was a non-smoker and he had no history of pulmonary disease. Symptoms started on July 13, 2021. Initially, he had fever, fatigue and polyarthralgia. He was referred to our department, few days later, after onset of breathlessness. The patient had no cough during the disease course.

On admission, the physical examination showed: an overweight with a body mass index at 29, temperature 38.5 °C, blood pressure 120/80 mmHg, heart rate 90 beats per minute, Glasgow coma scale 15, respiratory rate 32 breaths per minute, oxygen level measured by a pulse oximeter 87%, with bilateral inspiratory and expiratory crackles on pulmonary auscultation.

Arterial blood gas confirmed the respiratory failure. Blood tests revealed elevated C - reactive protein (127mg/l), elevated lactates dehydrogenase (879 UI/L), hepatic cytolysis (ASAT=95 UI/L, ALAT=142 UI/l), rhabdomyolysis (CPK=1300 UI/L) and elevated D-dimer value (900µg/l). 

The diagnosis of COVID-19 was confirmed by detection of SARS-CoV-2 nucleic acid in nasopharyngeal swab using Real-Time Polymerase Chain Reaction. Upon admission, thoracic CT-Scan showed bilateral crazy paving appearance affecting 60% of lung parenchyma, with septal thickness in a peripheral distribution.

Corticosteroids (dexamethasone 6mg/day), antibiotic therapy (ceftriaxone 1g/day), low molecular weight heparin (6000 UI every 12 hours) and supportive oxygen therapy without mechanical ventilation were initiated. Central vascular access procedures were not used.

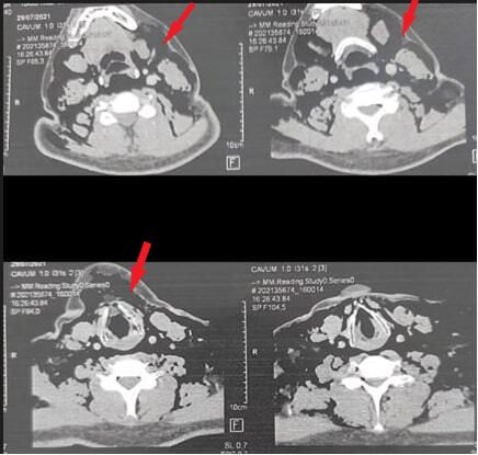
Four days after admission, the patient presented with tachycardia and cervical tumefaction. Physical examination showed a crepitus on palpation over the neck and an audible crunchy sound on cardiac auscultation. Repeat CT-Scan showed extensive cervical anterior emphysema with pneumomediastinum without pneumothorax (Figure 1 and 2). Cardiothoracic surgery was consulted and they recommended a closely monitoring of the clinical status of the patient. Surgical intervention was unnecessary. The patient was observed and his respiratory status improved slowly but continuously. The oxygen requirements decreased. Repeat CT-Scan showed a favourable outcome (Figure 3).

Discussion:

The most frequent complications of the COVID-19 infection is the severe acute respiratory syndrome with hypoxemia and respiratory failure. Occurrence of spontaneous pneumomedistinum and extensive cervical emphysema is very rare in adult patients with COVID-19 infection [2]. Pneumomedistinum occurs mostly after mechanical ventilation (barotrauma) or penetrating trauma or iatrogenic injury [3]. Spontaneous pneumomedistinum and cervical emphysema have been reported as a rare manifestation of COVID-19 infection in some adult patients without underlying lung diseases and who do not recur ventilation [4]. In addition, they have been described as potential complications of viral infections such as 2009 pandemic Influenza A (H1N1) infection and respiratory syncytial virus infection [5, 6]. The alveolar damage caused directly by the SARS-CoV-2 virus is a possible cause of spontaneous pneumomedistinum [7]. Also, the cough, which is a frequent symptom of the COVID-19, may cause the rupture of alveolar wall due to the increased pressure [8]. There is another mechanism that could explain the relation between the virus and this complication: the inflammatory storm can exudate into alveoli leading to cystic formation in the small airways [9]. These mechanisms lead to the migration of the air from ruptured alveoli to the mediastinum through the Macklin effect [10]. Our patient was a non-smoker. He did not have an underlying pulmonary disease and he did not present cough. He did not have an underlying pulmonary disease and did not present cough. All iatrogenic causes as trial of tracheal intubation or central vascular access procedures were excluded. However, he had clinical and biological manifestation of inflammatory storm and the lung damage caused by the virus was very important in the first CT-Scan. Probably, the association between the two mechanisms was the cause of the lung injury. The air can dissect to the neck or the face (subcutaneous emphysema) via the loose alveolar fat tissue, and it can also migrate to the pleura (pneumothorax) or to the peritoneum (pneumoperitoneum) [11]. In our case, the pneumomediastinum lead to another complication which is the extensive cervical emphysema. But, it did not lead to the pneumothorax. Chest CT-scans are the best radiological exam to diagnose this complication and to identify the extension of pneumomedistinum in patients with COVID-19 infection. Often, no treatment is required. The close monitoring of the patient is very important because it can cause a respiratory compromise.

Conclusion:

To conclude, spontaneous pneumomediastinum and extensive cervical emphysema seem to be rare in COVID-19. However, they must be known as a complication of the SARS-CoV-2 infection. The CT-Scan remains the best radiological exam to identify this complication. The prognosis of this pathology seems to be favourable in non-intubated patients.

Patient Perspective: The patient was satisfied with the results of the treatment and he didn’t experience any other complications.

Informed consent: was obtained from the patient for publication of this case report and accompanying images.

Acknowledgments: None

Conflicts of interest: None

  1. Kondili E, Makris D, Georgopoulos D, Rovina N, Kotanidou A, Koutsoukou A. COVID-19 ARDS: Points to Be Considered in Mechanical Ventilation and Weaning. J Pers Med. 2021; 11(11):1109.
  2. Shahsavarinia K, Rahvar G, Soleimanpour H, Saadati M, Vahedi L, Mahmoodpoor A. Spontaneous pneumomediastinum, pneumothorax and subcutaneous emphysema in critically ill COVID-19 patients: A systematic review. Pak J Med Sci. 2022; 38(3Part-I):730-735.
  3. Shrestha DB, Sedhai YR, Budhathoki P, Adhikari Y, Pokharel N, Dhakal R, et al. Pulmonary barotrauma in COVID-19: A systematic review and meta-analysis. Ann Med Surg (Lond). 2022;73:103221.
  4.  Tucker L, Patel S, Vatsis C, Poma A, Ammar A, Nasser W, et al. Pneumothorax and Pneumomediastinum Secondary to COVID-19 Disease Unrelated to Mechanical Ventilation. Case Rep Crit Care. 2020; 2020:6655428.
  5.  Chekkoth SM, Supreeth RN, Valsala N, Kumar P, Raja RS. Spontaneous pneumomediastinum in H1N1 infection: uncommon complication of a common infection. J R Coll Physicians Edinb. 2019; 49(4):298-300.
  6.  Dehmel M, Demirakca S, Jordan A, Dahlheim M, Diehm T, Schrotenet H, al. Pneumomediastinum and subcutaneous emphysema - an uncommon presentation of respiratory-syncytial virus infection in an infant. Klin Padiatr. 2013; 225(4):230-1.
  7.  Heijboer F, Oswald L, Cretier S, Braunstah GJ. Pneumomediastinum in a patient with COVID-19 due to diffuse alveolar damage. BMJ Case Rep. 2021; 14(5):e242527.
  8.  Kolani S, Houari N, Haloua M, Lamrani YA, Boubbou M, Serrajet M, al. Spontaneous pneumomediastinum occurring in the SARS-COV-2 infection. IDCases. 2020;21:e00806.
  9.  Jamil AK, Alam A, Youssef RM, Felius J, van Zyl JS, Gottlieb RL. Pneumothorax and Pneumomediastinum in COVID-19 Suggest a Pneumocystic Pathology. Mayo Clin Proc Innov Qual Outcomes. 2021; 5(5):827-834.
  10.  Brito J, Gregório P, Mariani A, D'ambrosio P, Filho M, Ferreira L, et al. Pneumomediastinum in COVID-19 disease: Outcomes and relation to the Macklin effect. Asian Cardiovasc Thorac Ann. 2021; 29(6):541-548.
  11. Kouritas VK, Papagiannopoulos K, Lazaridis G, Baka S, Mpoukovinas J, Karavasilis V,  et al. Pneumomediastinum.J Thorac Dis. 2015 Feb; 7(1): S44–S49.